
1998 yılında, Gazi üniversitesi Diş Hekimliği Fakültesi’ne girdim. 2003 yılında mezun oldum. 2004 yılında Gazi Üniversitesi Diş Hekimliği Fakültesi Ortodonti Anabilim Dalı’nda doktora eğitimine başladım, 2010 yılında doktoramı tamamlayıp Ortodonti uzmanı olarak mezun oldum
İlgi alanları
Diş Ağrısı
Diş Çürükleri
Diş Eksikliği
Diş Eti Kanaması
Diş Gıcırdatma
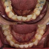
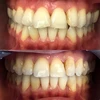
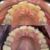
Diş Çapraşıklığı
Diş ve Diş eti hastalıkları
Periimplantitis
Peri-İmplant Mukozitis
Diş Çene ve Yüz Bölgesi Gelişim Yetersizlikleri
Çene Kistleri
Zirkonyum uygulamalar
Implant tedavisi
Porselen uygulamaları
Laminate veneer
Uzmanlık alanları
Diş hekim