
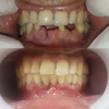
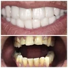
Diş hekimi Dr. Murat Öğretici Çekmeköy bölgesinde ve tüm Anadolu yakasında diş hekimliği hizmeti vermektedir. Profesyonel hekimliği ve son teknoloji diş tedavi cihazları ile çözüm üretmektedir.
İlgi alanları
Diş Ağrısı
Diş Çürükleri
Diş Eksikliği
Diş Eti Kanaması
Diş Gıcırdatma
Diş Çapraşıklığı
Diş ve Diş eti hastalıkları
Periimplantitis
Peri-İmplant Mukozitis
Diş Çene ve Yüz Bölgesi Gelişim Yetersizlikleri
Çene Kistleri
Zirkonyum uygulamalar
Implant tedavisi
Porselen uygulamaları
Laminate veneer
Uzmanlık alanları
Diş hekimi