
Ankara Üniversitesi Diş Hekimliği Fakültesinden 2009 yılında mezun olmuştur.
Ankara Üniversitesi Periodontoloji Anabilim dalında doktora ve uzmanlık eğitimini almıştır.
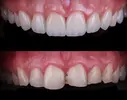
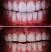
Çeşitli özel kliniklerde kendi uzmanlık alanları olan diş eti hastalıkları tedavisi cerrahisi ve implantoloji alanlarında çalışmıştır.
2011 yılından bu yana Dr. Mehmet Tartıcı ile birlikte kurdukları Hitit Dental'de hizmet vermektedir.
Deneyimler
ANKARA ÜNİVERSİTE DİŞ HEKİMLİĞİ FAKÜLTESİ PERİODONTOLOJİ ANABİLİMDALI DOKTORA (2009-2018)
ÖZEL ELİF TIP MERKEZİ (2009-2011)
ÖZEL SOKULLU AĞIZ DİŞ SAĞLIĞI POLİKLİNİĞİ (2010-2012)
ÖZEL ÇUBUK AĞIZ DİŞ SAĞLIĞI POLİKLİNİĞİ (2014-2017)
HİTİT DENTAL AĞIZ VE DİŞ SAĞLIĞI POLİKLİNİĞİ (2011- )
LİBREDENT AĞIZ VE DİŞ SAĞLIĞI POLİKLİNİĞİ (2022-)
Okullar / eğitimler
ÇANKAYA MİLLİ PİYANGO ANADOLU LİSESİ (2003)
ANKARA ÜNİVERSİTESİ DİŞ HEKİMLİĞİ FAKÜLTESİ (2009)
ANKARA ÜNİVERSİTESİ DİŞ HEKİMLİĞİ FAKÜLTESİ PERİODONTOLOJİ ABD. (2018)