
Dr. Sina Yıldırım, 1984 Erzurum doğumludur.
2002 Gazi Üniversitesi Diş Hekimliği Fakültesi'ni okumuştur.
2007 diş hekimi ünvanı almıştır.
2009 Mart ayında Karadeniz Teknik Üniversitesi, Diş Hekimliği Fakültesi, Ortodonti Anabilim Dalı'nı tamamlamıştır.
2014 'Self-tapping ve Self-drilling Ortodontik Mikro İmplantların Ortodontik Tedavi Sürecinde Stabilitelerinin Karşılaştırmalı Değerlendirilmesi' isimli doktora tez savunmasını bitirerek, ortodontide 'bilim doktoru' ünvanını almıştır.
2014 İstanbul'un Kartal ilçesinde hayalini kurduğu kliniği açmıştır.
Dr. Sina Yıldırım evli ve bir çocuk babasıdır.
İlgi alanları
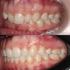
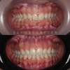
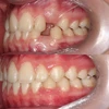
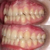
Diş Çapraşıklığı
Diş Çene ve Yüz Bölgesi Gelişim Yetersizlikleri
Gömülü Dişler
Ortodontik Malokluzyonlar
Sınıf 3 Malokluzyonlar
Çene Bozukluğu
Çarpık Diş
Sınıf 1 Malokluzyonlar
Sınıf 2 Malokluzyonlar
Diş Gıcırdatma
Diş Eti Kanaması
Perikoronitis
Periimplantitis
Çene Kistleri
Periodontoloji
Endodonti
Diş Taşı
Lezyonlu (Enfekte) Diş
Aft
Lazer Cerrahisi
Diş ve Diş eti hastalıkları
Temporomandibular Eklem (TME) Rahatsızlıkları
Bonding
Diş Ağrısı
Diş Çürükleri
Dudak - Damak Yarıkları
Uzmanlık alanları
Ortodonti
Diş hekimi