
2008 İstanbul Üniversitesi Çapa Diş Hekimliği Fakültesi mezunu olan Diş Hekimi Mehmet Ali Arslan; 2009 yılından beri kendi muayenehanesinde Estetik Diş Hekimliği ve İmplant tedavisi ağırlıkla olmak üzere çalışmaktadır.
İlgi alanları
Diş Gıcırdatma
Diş Ağrısı
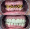
Diş Çürükleri
Diş Eksikliği
Diş Eti Kanaması
Diş ve Diş eti hastalıkları
Ağız Kokusu
Periimplantitis
Perikoronitis
Peri-İmplant Mukozitis
Bonding
Endodonti
Diş Taşı
Kırık Diş
Lezyonlu (Enfekte) Diş
Diş Kırıkları
Deneyimler
Mehmet Ali Arslan Diş Kliniği
Okullar / eğitimler
İstanbul Üniversitesi, 2008
Uzmanlık alanları
Diş hekimi