
Bunların tümünü bir arada bulabileceğiniz, kendinizi gönül rahatlığıyla ellerine emanet edebileceğiniz Dt. Bende Doğan, İstanbul’un en merkezi ve kozmopolit lokasyonlarından biri olan Nişantaşı’ndaki kliniğinde, 6 yılı aşkın bir zaman diliminden bu yana hastalarıyla buluşmaya devam ediyor.
Genç yaşında Türkiye’nin çeşitli bölgelerinde görev yapma ve birbirinden farklı sayısız vakanın tedavisinde yer alma fırsatı bulan Dt. Bende Doğan, edindiği bilgi birikimi nedeniyle ciddi bir mesleki donanım kazanmıştır.
Aldığı eğitimler ve edindiği mesleki tecrübenin yanı sıra hastalarıyla çok rahat empati ve iletişim kurabilmesi; pozitif, içten, samimi ve güler yüzlü bir yapıya sahip olması, öncelikli tercih edilme nedeni olmaktadır.
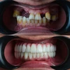
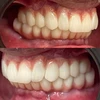
%100 hasta memnuniyeti odaklı çalışan ve her bir hasta için özel tedavi planlaması prensibi ile hastalarının yaşamına dokunan Dt. Bende Doğan, bu zamana kadar binlerce smile design, implant, restorasyon ve kanal tedavisi uygulamasına imza atarken, hasta referansıyla çalışma disiplini ile faaliyet göstermektedir.
İlgi alanları
Diş Ağrısı
Diş Çürükleri
Diş Eksikliği
Diş Eti Kanaması
Diş Gıcırdatma
Diş Çapraşıklığı
Diş ve Diş eti hastalıkları
Periimplantitis
Peri-İmplant Mukozitis
Diş Çene ve Yüz Bölgesi Gelişim Yetersizlikleri
Çene Kistleri
Zirkonyum uygulamalar
Implant tedavisi
Porselen uygulamaları
Laminate veneer
Uzmanlık alanları
Diş hekimi