Adwhit Logo
Uygulamayı indirin
Tüm yeniliklerden haberdar olun
Dt. Hamit Orhan

Lazerle beyazlatma

Dt. Hamit Orhan Diş Hekimi

İlgi alanları

  • Diş Ağrısı

  • Diş Çürükleri

  • Diş Eksikliği

  • Diş Eti Kanaması

  • Diş Gıcırdatma

  • Diş Çapraşıklığı

  • Diş ve Diş eti hastalıkları

  • Periimplantitis

  • Peri-İmplant Mukozitis

  • Diş Çene ve Yüz Bölgesi Gelişim Yetersizlikleri

  • Çene Kistleri

  • Zirkonyum uygulamalar

  • Implant tedavisi

  • Porselen uygulamaları

  • Laminate veneer

Uzmanlık alanları

  • Diş hekimi

Değerlendirme: 0 / 5
0 değerlendirme işlemi
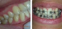
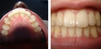
Fotoğraflar
Ad Soyad
Dt. Hamit Orhan

Yaş
53

Deneyim
10 yıldan fazla

Adres
İstanbul / Bahçelievler / Yenibosna merkez mah.
Ana Sayfa
Hesabım
İlan Ekle