
Diş Hekimi Eren Geyik, mesleğe duyduğu tutkuyla 2011 yılından bu yana hastalarına hizmet veriyor. İmplant, estetik uygulamalar ve ortodonti alanında kişiye özel çözümler sunarak, herkesin hayalindeki gülüşe ulaşmasını sağlıyor. -Diş Hekimi Eren Geyik, mesleğinde 10 yılı aşkın tecrübeye sahip. İmplant cerrahisi, estetik porselen kaplamalar ve ortodonti tedavileriyle, hastalarına modern ve güvenilir çözümler sunmayı önemsiyor. -1987 Adana doğumlu Eren Geyik, Çukurova Üniversitesi mezunu bir diş hekimi. İmplant, estetik kaplamalar ve ortodonti tedavileriyle hastalarının hem sağlığına hem de gülüşlerine değer katıyor.
İlgi alanları
Diş Ağrısı
Diş Çürükleri
Diş Eksikliği
Diş Eti Kanaması
Diş Gıcırdatma
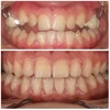
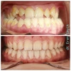
Diş Çapraşıklığı
Diş ve Diş eti hastalıkları
Periimplantitis
Peri-İmplant Mukozitis
Diş Çene ve Yüz Bölgesi Gelişim Yetersizlikleri
Çene Kistleri
Zirkonyum uygulamalar
Implant tedavisi
Porselen uygulamaları
Laminate veneer
Uzmanlık alanları
Diş hekim