
Dt. Buket TUZCU, 1970 yılında Denizli’nin Çal ilçesinde doğdu. 1986-1991 yılları arasında Ege Üniversitesi Diş Hekimliği Fakültesi’nde eğitim gördü. Kendi muayenehanesinde genel dişhekimliği yapmaktadır. İsviçre Geneve Üniversitesi’nde Basic Orthodontie eğitimi almıştır. İstanbul Diş Hekimleri Odası’na kayıtlı, TDB üyesidir. Evli ve iki çocuk annesidir.
İlgi alanları
Diş Çene ve Yüz Bölgesi Gelişim Yetersizlikleri
Diş Gıcırdatma
Diş Ağrısı
Ağız Kokusu
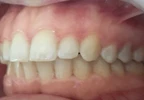
Diş Çapraşıklığı
Diş Eti Kanaması
Diş ve Diş eti hastalıkları
Diş Eksikliği
Şeffaf plaklarla yapılan ortodontik tedaviler
Dişeti çekilmelerine karşı yapılan dişeti dolguları
Diş kesimi gerektirmeyen estetik kompozit laminalar
Porselen laminalar
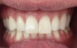
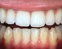
Estetik diş hekimliği
Diş çekimi
20 yaş diş çekimi(yarı gömük-tam gömük)
Kompozit Laminalar
Fonksiyonel Ortodontik Tedaviler
Deneyimler
özel muayenehane_(1991-halen)
İsviçre Cenevre Üniversitesi Diş Hekimliği Fakültesi Ortodonti Departmanı_2006
Okullar / eğitimler
Ege Üniversitesi Diş Hekimliği Fakültesi_1991
Anadolu Üniversitesi Sağlık kurumları işletmeciliği2016
Uzmanlık alanları
Diş hekimi