
Diş Hekimi Elif Tuğba Özdoğan 1999 yılından beri kendi özel muayenehanesinde hizmet vermektedir.
Almanca (anadil seviyesinde) ve İngilizce (iyi düzey) dillerinde hizmet verebilmektedir.
Zahnarztpraxis Elif Tuğba Özdoğan in Erenköy-İstanbul für Prophylaxe, Wuzelbehandlung, Zahnkorrekturen, Zahnfleischbehandlung, Implantologie sowie für Veneers.
İlgi alanları
Diş Ağrısı
Diş Çürükleri
Diş Eksikliği
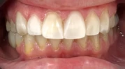
Diş ve Diş eti hastalıkları
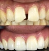
Diş Çapraşıklığı
Ağız Kokusu
Periimplantitis
Diş Çene ve Yüz Bölgesi Gelişim Yetersizlikleri
Diş Gıcırdatma
Çene Kistleri
Bruksizm, Clamping (Diş Sıkma, Gıcırdatma)
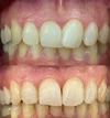
Diş ve Çevre Doku Estetiği Sorunları
Ortodontik Sorunlar
Gömük/Yarı Gömük (Yirmi Yaş ve Diğer) Dişler
Diş ve Çevresi Kistleri
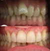
Renk Değisiklikleri
Gummy Smile
Lekelenmeler
Okullar / eğitimler
İstanbul Üniversitesi Dişhekimliği Fakültesi 1996
Uzmanlık alanları
Diş hekimi