
2011 yılında Selçuk üniversitesi Diş Hekimliği Fakültesi'nden diş hekimi olarak mezun olduktan sonra Gazi Üniversitesi Diş Hekimliği Fakültesi Protetik Diş Tedavisi'nde doktoraya başladım. 2015 yılında doktora tezimi tamamlayarak 'bilim doktoru' ünvanı almaya hak kazandım. Doktora sırası ve sonrasında çeşitli ağız ve diş sağlığı poliklinik ve merkezlerinde protez uzmanı ve diş hekimi olarak görev yaptım.
İlgi alanları
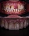
Diş Ağrısı
Diş Çürükleri
Diş Eksikliği
Diş Eti Kanaması
Diş Gıcırdatma
Diş Çapraşıklığı
Diş ve Diş eti hastalıkları
Periimplantitis
Peri-İmplant Mukozitis
Diş Çene ve Yüz Bölgesi Gelişim Yetersizlikleri
Çene Kistleri
Zirkonyum uygulamalar
Implant tedavisi
Porselen uygulamaları
Laminate veneer
Uzmanlık alanları
Diş hekim