
EĞİTİM
Yüksek Lisans:SamsunOn Dokuz Mayıs Üniversitesi/ Diş Hekimliği Fakültesi (2012-2017)
Lise: İskenderun Cumhuriyet Anadolu Lisesi (2008-2012)
MESLEKİ İLGİ ALANLARI
Kanal tedavisi uygulamalari
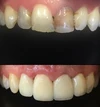
Kompozit estetik uygulamalari
Onley uygulamalari
İlgi alanları
Diş Ağrısı
Diş Çürükleri
Diş Eksikliği
Diş Eti Kanaması
Diş Gıcırdatma
Diş Çapraşıklığı
Diş ve Diş eti hastalıkları
Periimplantitis
Peri-İmplant Mukozitis
Diş Çene ve Yüz Bölgesi Gelişim Yetersizlikleri
Çene Kistleri
Zirkonyum uygulamalar
Implant tedavisi
Porselen uygulamaları
Laminate veneer
Uzmanlık alanları
Diş hekim