Adwhit Logo
Uygulamayı indirin
Tüm yeniliklerden haberdar olun
/
Ustalar ve Hizmetler
/
Türkiye'deki en iyi diş hekimleri
/
Kırık ve çatlamış dişlerin onarımı
Doç. Dr. Özge Özdal Zincir

Kırık ve çatlamış dişlerin onarımı

2011 yılında İstanbul Üniversitesi Diş Hekimliği Fakültesi'nden yüksek lisans derecesinde mezun olduktan sonra aynı yıl aynı üniversitenin Ağız, Diş ve Çene Cerrahisi Anabilim Dalı'nda doktora eğitimime başladım. Yoğun klinik ve akademik tecrübe edinerek 2015 yılında doktora eğitimimi başarıyla tamamladım ve Ağız, Diş ve Çene Cerrahisi Uzmanı olarak mezun oldum. Çeşitli kliniklerde uzman diş hekimi olarak çalışmamın yanında akademik dosyamı da geliştirerek 2018 yılında Dr. Öğretim Üyesi (Yrd. Doç. Dr.) ünvanını kazandım. Uluslararası ve ulusal dergilerde çok sayıda makalelerim, uluslararası kongre ve sempozyumlarda bildirilerim ve kitap bölümü yazarlığımın yanında dental implant, oral cerrahi, gülüş tasarımı başta olmak üzere diş hekimliğinin tüm alanlarıyla ilgili yoğun klinik tecrübeye sahibim. Çalışmalarıma keyifli ve dinlendirici ortamıyla kendi kliniğimde devam etmekteyim.

İlgi alanları

  • Diş Ağrısı

  • Gömülü Dişler

  • Diş Eksikliği

  • Çene Problemleri

  • Diş Eti Kanaması

  • Diş ve Diş eti hastalıkları

  • Aft

  • Diş Çapraşıklığı

  • Sinus Cerrahisi

  • Yaprak Porselen Lamina

  • Çene Eklem Ağrıları

  • Zirkonyum Porselen Kaplama

  • Empress Porselen Kaplama

  • Yaprak Kompozit Lamina

  • Ağız Yaraları

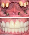
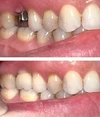
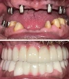
  • Diş Kırıkları

  • Lökoplaki

Okullar / eğitimler

  • İstanbul Üniversitesi Diş Hekimliği Fakültesi’nde (Çapa) Yüksek Lisans 2011

  • İstanbul Üniversitesi Diş Hekimliği Fakültesi Ağız, Diş ve Çene Cerrahisi Anabilim Dalı Doktora 2015

Uzmanlık alanları

  • Diş hekimi

  • Ağız diş ve çene cerrahisi

Değerlendirme: 0 / 5
0 değerlendirme işlemi
Fotoğraflar
Video
Ad Soyad
Doç. Dr. Özge Özdal Zincir

Yaş
40

Deneyim
5 - 10 yıl

Adres
İstanbul / Kadıköy / Zühtüpaşa mah.
Ana Sayfa
Hesabım
İlan Ekle