Adwhit Logo
Uygulamayı indirin
Tüm yeniliklerden haberdar olun
Dt. Burak Akçoral

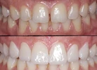
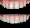
Kırık Diş - Çarpık Diş

Dt. Burak Akçoral Eskişehir doğumludur. Lisans öncesi öğrenimini Eskişehir Kılıçoğlu Anadolu Lisesi’nde tamamladıktan sonra Kocaeli Üniversitesi Diş Hekimliği Fakültesi’nde başladığı diş hekimliği eğitimini başarıyla tamamlayarak Diş Hekimi unvanı almış ve mesleki çalışmalarına şu anda kurucusu olduğu PRIMEDENT ISTANBUL Ağız ve Diş Sağlığı Polikliniğinde devam etmektedir.

İlgi alanları

  • Diş Gıcırdatma

  • Diş Çürükleri

  • Diş ve Diş eti hastalıkları

  • Diş Ağrısı

  • Diş Eksikliği

  • Diş Eti Kanaması

  • Ağız Kokusu

  • Diş Çapraşıklığı

  • Periimplantitis

  • Diş Çene ve Yüz Bölgesi Gelişim Yetersizlikleri

  • Perikoronitis

  • Çene Kistleri

  • Peri-İmplant Mukozitis

  • Bonding

  • Endodonti

  • Ayrık Dişler

  • Çene Bozukluğu

  • Periodontoloji

  • Lazer Cerrahisi

  • Diş Taşı

  • Kırık Diş

  • Çarpık Diş

  • Temporomandibular Eklem (TME) Rahatsızlıkları

  • Lezyonlu (Enfekte) Diş

  • Diş Kırıkları

  • Diş Sıkma

  • Ağız Yaraları

  • Aft

  • Gömülü Dişler

Bilinen diller

  • Türkçe

  • İngilizce

Deneyimler

  • Smile Eskişehir

  • özlem Ersöz Muayenehanesi

Okullar / eğitimler

  • Kocaeli Üniversitesi Diş Hekimliği Fakültesi

Uzmanlık alanları

  • Diş hekimi

Değerlendirme: 0 / 5
0 değerlendirme işlemi
Fotoğraflar
Ad Soyad
Dt. Burak Akçoral

Yaş
37

Deneyim
5 - 10 yıl

Adres
İstanbul / Şişli / Fulya mah.
Ana Sayfa
Hesabım
İlan Ekle