
Uzm.Dt. Merve Salmanlı Hastalarına Çocuk Diş Hekimi olarak Ankara’da Hizmet vermektedir. Aldığı eğitim ve katıldığı birçok seminer ile mesleğini severek sürdürmektedir. Özellikle ; Çocuk iletişimi konusunda ikna edici olup, süt dişlerindeki dolgu, kanal tedavisi , diş çekimi, travma, diş enfeksiyonları, yer tutucu, sedasyon altında diş tedavileri ilgi alanlarıdır.
İlgi alanları
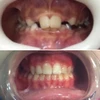
Diş Ağrısı
Diş Çürükleri
Diş Eksikliği
Diş Eti Kanaması
Diş Gıcırdatma
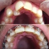
Diş Çapraşıklığı
Diş ve Diş eti hastalıkları
Periimplantitis
Peri-İmplant Mukozitis
Diş Çene ve Yüz Bölgesi Gelişim Yetersizlikleri
Çene Kistleri
Zirkonyum uygulamalar
Implant tedavisi
Porselen uygulamaları
Laminate veneer
Uzmanlık alanları
Diş hekim