Adwhit Logo
Uygulamayı indirin
Tüm yeniliklerden haberdar olun
/
Ustalar ve Hizmetler
/
Türkiye'deki en iyi diş hekimleri
/
Karpal kemiklerinin erozyonunun tedavisi
Dt. Hasan Özköse

Karpal kemiklerinin erozyonunun tedavisi

2011 yılında Marmara Üniversitesi Diş Hekimliği Fakültesi'nden yüksek lisans eğitimimi tamamlayarak mezun oldum. Aynı yıl Çankırı'da diş tabip teğmen olarak askerlik görevimi yaptım. Ankara' da özel bir diş kliniğinde 7 yıl başhekimlik görevini yürüttükten sonra kurucusu olduğum Özel Dentavend Ağız ve Diş Sağlığı Polikliniği'nde hastalarıma hizmet vermekteyim.

İlgi alanları

  • Diş Ağrısı

  • Diş Çürükleri

  • Diş Eksikliği

  • Diş Eti Kanaması

  • Diş Gıcırdatma

  • Diş Çapraşıklığı

  • Diş ve Diş eti hastalıkları

  • Periimplantitis

  • Peri-İmplant Mukozitis

  • Diş Çene ve Yüz Bölgesi Gelişim Yetersizlikleri

  • Çene Kistleri

  • Zirkonyum uygulamalar

  • Implant tedavisi

  • Porselen uygulamaları

  • Laminate veneer

Uzmanlık alanları

  • Diş hekim

Değerlendirme: 0 / 5
0 değerlendirme işlemi
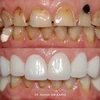
Fotoğraflar
Ad Soyad
Dt. Hasan Özköse

Yaş
42

Deneyim
5 - 10 yıl

Adres
Ankara / Çankaya / Keklik pinari mah.
Ana Sayfa
Hesabım
İlan Ekle