
1972 Elazığ doğumluyum. 1994 yılıında İstanbul Üniversitesi Diş Hekimliği Fakültesini tamamladım. İstanbul'un marka değerine sahip birçok özel hastanesinde Diş Hekimliği ve implantoloji alanlarında tecrübe edinerek uzun yıllar boyunca kariyerimi ve iş gelişimimi sürdürdüm. Eş zamanlı Fransa ve İsviçre'de İmplantoloji ve estetik diş hekimliği alanlarında uzmanlığımı geliştirdim. Her yıl bu alanlarda kongrelere katılıp, workshop ve eğitimlerimi sürdürdüm. Eğitmenlik alanında da akademik olarak sempozyum ve konferanslara katıldımİlgi alanları
Diş Ağrısı
Diş Çürükleri
Diş Eksikliği
Diş Eti Kanaması
Diş Gıcırdatma
Diş Çapraşıklığı
Diş ve Diş eti hastalıkları
Periimplantitis
Peri-İmplant Mukozitis
Diş Çene ve Yüz Bölgesi Gelişim Yetersizlikleri
Çene Kistleri
Zirkonyum uygulamalar
Implant tedavisi
Porselen uygulamaları
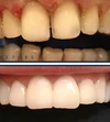
Laminate veneer
Uzmanlık alanları
Diş hekim