
İstanbul Medipol Üniversitesi Diş Hekimliği Fakültesi’nden mezun olan Erkan SULTANOĞLU, Biruni Üniversitesinde Ortodonti anabilim dalında çalışmalarına devam etmektedir.
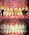
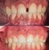
Ortodonti, implant cerrahisi, estetik ve kozmetik diş hekimliği uygulamaları, gülüş tasarımı gibi diş hekimliğinin tüm alanlarında 8 yıllık klinik tecrübesiyle kendi özel muayenehanesinde hizmet vermektedir.
İlgi alanları
Diş Ağrısı
Diş Çürükleri
Diş Eksikliği
Diş Eti Kanaması
Diş Gıcırdatma
Diş Çapraşıklığı
Diş ve Diş eti hastalıkları
Periimplantitis
Peri-İmplant Mukozitis
Diş Çene ve Yüz Bölgesi Gelişim Yetersizlikleri
Çene Kistleri
Zirkonyum uygulamalar
Implant tedavisi
Porselen uygulamaları
Laminate veneer
Uzmanlık alanları
Diş hekimi