
1997-1998 yılında Ankara üniversitesi dişhekimliği bölümünden mezun oldum.
1975 yılında Trabzon da doğdum.Diş hekimliği eğitimimi 1998 yılnda Ankara Üniversitesi Diş Hekimliği fakültesinde tamamladım.
1998 yılından itibaren serbest diş hekimi olarak çalışmaktayım.
2017 yılından itibaren ortağı olduğum Ankadent ağız ve diş sağlığı polikliniğinde mesleğimi icra etmekteyim.
İlgi alanları
Diş Ağrısı
Diş Çürükleri
Diş Eksikliği
Diş Eti Kanaması
Diş Gıcırdatma
Diş Çapraşıklığı
Diş ve Diş eti hastalıkları
Periimplantitis
Peri-İmplant Mukozitis
Diş Çene ve Yüz Bölgesi Gelişim Yetersizlikleri
Çene Kistleri
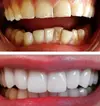
Zirkonyum uygulamalar
Implant tedavisi
Porselen uygulamaları
Laminate veneer
Uzmanlık alanları
Diş hekim