
Diş Hekimi Dt. Mert Kalak, Uşak doğumludur. Lise öğrenimini 2008 yılında Maltepe Askeri Lisesi’nde, lisans eğitimini ise Kocaeli Üniversitesi Diş Hekimliği Fakültesi’nde tamamlamıştır. İki yıl süre ile Kocaeli’de özel bir klinikte çalışmalarına devam eden Dt. Kalak, dijital diş hekimliği, diş hekimliği ve implantoloji üzerine pek çok eğitime katılmıştır. 2016 DentGroup Vaka Yarışması 1.’lik derecesi sonrası Christian Coachman’ın DSD (Digital Smile Design) sertifikasına sahip olmuştur. Şu anda DentGroup Göztepe kliniğinde diş hekimi, DentGroup A.Ş.’de Medikal ArGe Direktörü olarak görev yapmaktadır.
İlgi alanları
Diş Ağrısı
Diş Eti Kanaması
Diş Eksikliği
Diş Çapraşıklığı
Perikoronitis
Periimplantitis
Diş Çürükleri
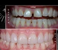
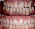
Diş Renklenmeleri
Gummy Smile
Dijital Anestezi
Kanal Tedavisi
İmplant
Genel Diş Hekimliği
Protez
Lamina Veneer
Ağız Kokusu
Deneyimler
Özel Donatım Ağız ve Diş Sağlığı Merkezi
DentGroup Göztepe Kliniği - Halen
Okullar / eğitimler
Kocaeli Üniversitesi Diş Hekimliği Fakültesi
Uzmanlık alanları
Diş hekimi