
28 Eylül 1998'de Bornova'da doğdu.
Okul hayatını Balıkesir'de tamamladı.
2021'de Ordu Üniversitesi Diş Hekimliği Fakültesi'ni tamamladıktan sonra İzmir'e geldi.
İzmir'de 1 yıl özel muayenehanede çalıştıktan sonra 2023 yılından itibaren kendi muayehanesinde hizmet vermektedir.
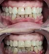
Mesleki ilgi alanları arasında öncelikle iletişim geliyor. Doğru bir iletişim ile danışanların tam olarak ne istediklerine odaklanıp butik bir muayenehane hizmeti gülüş estetiği çalışmaları yapmaktadır.
İlgi alanları
Diş Ağrısı
Diş Çürükleri
Diş Eksikliği
Diş Eti Kanaması
Diş Gıcırdatma
Diş Çapraşıklığı
Diş ve Diş eti hastalıkları
Periimplantitis
Peri-İmplant Mukozitis
Diş Çene ve Yüz Bölgesi Gelişim Yetersizlikleri
Çene Kistleri
Zirkonyum uygulamalar
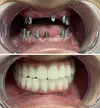
Implant tedavisi
Porselen uygulamaları
Laminate veneer
Uzmanlık alanları
Diş hekim