Adwhit Logo
Uygulamayı indirin
Tüm yeniliklerden haberdar olun
/
Ustalar ve Hizmetler
/
Türkiye'deki en iyi diş hekimleri
/
Dişlerin yanlış örtüşmesi sorunları
Dt. Ahmet T. Çelik

Dişlerin yanlış örtüşmesi sorunları

Merhaba ben Ahmet T. Çelik; Diş Hekimliği alanında hizmet vermekteyim.

İlgi alanları

  • Diş Gıcırdatma

  • Diş Çürükleri

  • Diş Ağrısı

  • Diş Eksikliği

  • Diş Eti Kanaması

  • Diş ve Diş eti hastalıkları

  • Ağız Kokusu

  • Diş Çapraşıklığı

  • Periimplantitis

  • Diş Çene ve Yüz Bölgesi Gelişim Yetersizlikleri

  • Ağız Yaraları

  • Aft

  • Diş Sıkma

  • Diş Kırıkları

  • Lezyonlu (Enfekte) Diş

  • Sedasyon

  • Kırık Diş

  • Diş Taşı

  • Periodontoloji

  • Ayrık Dişler

  • Bonding

  • Endodonti

  • Peri-İmplant Mukozitis

  • Çene Kistleri

  • Perikoronitis

Deneyimler

  • Beyaz Işık Ağız ve Diş Sağlığı Merkezi Sancaktepe Şubesi

Okullar / eğitimler

  • Atatürk Üniversitesi Diş Hekimliği Fakültesi ( 2014-2019)

  • Tevfik İleri Anadolu Lisesi (2009-2013)

Uzmanlık alanları

  • Diş hekimi

Değerlendirme: 0 / 5
0 değerlendirme işlemi
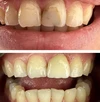
Fotoğraflar
Ad Soyad
Dt. Ahmet T. Çelik

Yaş
35

Deneyim
5 - 10 yıl

Adres
İstanbul / Sancaktepe / Atatürk mah.
Ana Sayfa
Hesabım
İlan Ekle