
Diş hekimi Dt. Ozan Şener, Gaziantep doğumludur. Lise öğrenimini Gaziantep Kolej Vakfı Fen Lisesi’nde lisans eğitimini ise Gaziantep Üniversitesi Diş Hekimliği Fakültesi’nde tamamlamıştır. Mesleki çalışmalarını ağırlık olarak implantoloji ve dijital diş hekimliği tedavileri üzerine yoğunlaştırmıştır. 2016 yılında DentGroup Vaka Yarışması 2.’lik derecesi sonrası DentGroup ailesine katılmıştır. 2018 yılında DentGroup Göztepe Klinik ortağı olarak hastalarına hizmet vermektedir. Dt. Şener ayrıca Genç EDAD, TDB ve CAD ACADEMY üyesidir.
İlgi alanları
Diş Gıcırdatma
Diş Çürükleri
Diş ve Diş eti hastalıkları
Diş Ağrısı
Diş Eksikliği
Diş Eti Kanaması
Ağız Kokusu
Diş Çapraşıklığı
Periimplantitis
Diş Çene ve Yüz Bölgesi Gelişim Yetersizlikleri
Lazer Cerrahisi
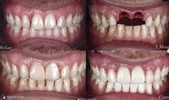
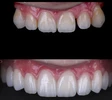
Porselen Lamina
Gülüş Estetiği
Deneyimler
DentGroup Göztepe Ağız Ve Diş Sağlığı Merkezi -Halen
Okullar / eğitimler
Gaziantep Üniversitesi Diş Hekimliği Fakültesi
Uzmanlık alanları
Diş hekimi