
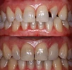
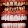
1989 – 1995 Marmara Üniversitesi Diş Hekimliği Fakültesi mezunudur. Özel DentBakırköy Ağız ve Diş Sağlığı Polikliniği’nin kurucusu olup; estetik diş hekimliği, protez ve genel diş tedavileri alanında çalışmaktadır.
İlgi alanları
Diş Ağrısı
Diş Çürükleri
Diş Eksikliği
Diş Eti Kanaması
Diş Gıcırdatma
Diş Çapraşıklığı
Diş ve Diş eti hastalıkları
Periimplantitis
Peri-İmplant Mukozitis
Diş Çene ve Yüz Bölgesi Gelişim Yetersizlikleri
Çene Kistleri
Zirkonyum uygulamalar
Implant tedavisi
Porselen uygulamaları
Laminate veneer
Uzmanlık alanları
Diş hekimi