
1990 yılı İstanbul Üniversitesi Diş Hekimliği Fakültesi mezunudur.1995 yılında Dentadent´i kurmuştur.
İlgi alanları
Diş Gıcırdatma
Diş Çürükleri
Diş Eti Kanaması
Diş Ağrısı
Diş ve Diş eti hastalıkları
Diş Eksikliği
Diş Çapraşıklığı
Ağız Kokusu
Kırık Dişler
Çocuk Diş çürükleri
Süt dişi çürükleri
Süt dişi kanal tedavisi (amputasyon)
Gömülü 20 yaş dişi
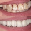
Diş renklenmeleri
Diş taşları
Diş absesi
Diş eti absesi
Dişçi korkusu (diş hekimi korkusu)
Uzmanlık alanları
Diş hekimi