
Türkiye'ye döndükten sonra akademik hayatıma devam etmek istediğim için Yüksek Öğretim Kurumu'nun düzenlediği Diş Hekimliği Uzmanlık Sınavı'na (DUS) katılarak Türkiye 16.'sı oldum. Birkaç fakülteyi bizzat gidip gezdikten sonra Selçuk Ortodonti'nin akademik kadrosu beni cezbetti ve ilk tercihim olarak orayı belirledim. Uzmanlık tezimin konusu, ortodontide kullanılan farklı kuvvetlerin kök rezorpsiyonuna (erimesine) etkilerini mukayese etmek ile ilgili klinik deneyler, mikro tomografi incelemeleri ve 3 boyutlu modelleme analizi gibi üç temel aşaması olan önemli bir çalışmaydı. Zorlu bir süreç olsa da sonuçları itibariyle ortodontide ugulanan kuvvetler ile diş köklerinin zarar görmemesini gözetmek açısından mesleğime katkısı oldu diye düşünüyorum.
İlgi alanları
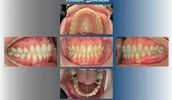
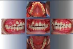
Diş Çapraşıklığı
Sınıf 3 Malokluzyonlar
Dudak - Damak Yarıkları
Çene Problemleri
Gömülü Dişler
Ortodontik Malokluzyonlar
Sınıf 2 Malokluzyonlar
Sınıf 1 Malokluzyonlar
Kırık Diş
Çarpık Diş
Ayrık Dişler
Çene Darlığı
Ortognatik cerrahi ( Cerrahi ortodonti )
Uzmanlık alanları
Ortodonti
Diş hekimi