Adwhit Logo
Uygulamayı indirin
Tüm yeniliklerden haberdar olun
Dt. Ahmet Nuri Silahtar

Dişleri sıkmak

Dt. Ahmet Nuri Silahtar Ahmet Nuri Silahtar lise eğitimini Hüseyin Avni Sözen Anadolu Lisesi’nde tamamladıktan sonra, 2000 yılında Marmara Üniversitesi Diş Hekimliği Fakültesi’ni bitirdi. Daha sonra implant tedavileri konusunda sertifikasını International Team for Implantology-ITI’den almıştır. Halen, global bir organizasyon olan International Team for Implantology’nin aktif bir üyesidir. Aynı zamanda sağlık hizmetlerinde tıbbi kalitenin sürdürülebilir olabilmesi için klinik yönetiminin de önemli olduğuna inanan A.N. Silahtar, Marmara Üniversitesi’nde Hastane Yöneticiliği ve Gebze Teknik Üniversitesi’nde ise İşletme (MBA) alanlarında olmak üzere iki alanda master derecelerine sahiptir. Hizmet kalitesi başta olmak üzere, hasta memnuniyeti ve uzun dönem hekim-hasta ilişkileri gibi konularda uzmanlaşmıştır.

İlgi alanları

  • Diş Gıcırdatma

  • Diş Çürükleri

  • Diş Ağrısı

  • Diş Eksikliği

  • Diş Eti Kanaması

  • Diş ve Diş eti hastalıkları

  • Ağız Kokusu

  • Diş Çapraşıklığı

  • Periimplantitis

  • Diş Çene ve Yüz Bölgesi Gelişim Yetersizlikleri

  • Bonding

  • Ayrık Dişler

  • Kırık Diş

  • Diş Kırıkları

  • Diş Sıkma

Deneyimler

  • Dentes Diş Tedavi Kliniği

Okullar / eğitimler

  • Marmara üniversitesi Diş Hekimliği Fakültesi

Uzmanlık alanları

  • Diş hekimi

Değerlendirme: 0 / 5
0 değerlendirme işlemi
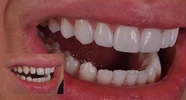
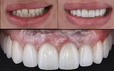
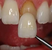
Fotoğraflar
Video
Ad Soyad
Dt. Ahmet Nuri Silahtar

Yaş
44

Deneyim
5 - 10 yıl

Adres
İstanbul / Kadıköy / Suadiye mah.
Ana Sayfa
Hesabım
İlan Ekle