Adwhit Logo
Uygulamayı indirin
Tüm yeniliklerden haberdar olun
/
Ustalar ve Hizmetler
/
Türkiye'deki en iyi diş hekimleri
/
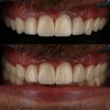
Dişlerdeki tartarın temizlenmesi
Dt. Engin Aksoy

Dişlerdeki tartarın temizlenmesi

18 Temmuz 1975’te İstanbul Nişantaşı’nda dünyaya gelen Engin Aksoy doğumundan kısa bir süre sonra ailesiyle Almanya’ya döndü. Burada uzun süre kalan ve eğitim hayatının tamamını yine Almanya’da geçiren Engin Aksoy, üniversite eğitimini ülkenin dünya çapında adından söz ettiren Universitat Ulm’de, Diş Hekimliği Bölümü’nde tamamladı. Steinbeis University’de oral implantoloji üzerine uzmanlığını alan Aksoy, doktorasını Universitat Ulm’de tamamlamıştır. Diş Hekimi Engin Aksoy ayrıca pek çok uluslararası implantoloji sempozyumunda baş konuşmacı olarak görev almış ve deneyimlerini dünyanın birçok ülkesindeki meslektaşlarıyla paylaşmıştır.

İlgi alanları

  • Diş Ağrısı

  • Diş Çürükleri

  • Diş Eksikliği

  • Diş Eti Kanaması

  • Diş Gıcırdatma

  • Diş Çapraşıklığı

  • Diş ve Diş eti hastalıkları

  • Periimplantitis

  • Peri-İmplant Mukozitis

  • Diş Çene ve Yüz Bölgesi Gelişim Yetersizlikleri

  • Çene Kistleri

  • Zirkonyum uygulamalar

  • Implant tedavisi

  • Porselen uygulamaları

  • Laminate veneer

Uzmanlık alanları

  • Diş hekimi

Değerlendirme: 0 / 5
0 değerlendirme işlemi
Fotoğraflar
Ad Soyad
Dt. Engin Aksoy

Yaş
51

Deneyim
10 yıldan fazla

Adres
İstanbul / Beşiktaş / Vişnezade mah.
Ana Sayfa
Hesabım
İlan Ekle