
1976 yılında Bursa Karacabey’de doğdu. İlkokulu Bilecik Edebali İlköğretim Okulunda, Ortaokulu Bilecik Anadolu Lisesi’nde bitirdi. Lise öğrenimini Bursa Karacabey Lisesinde birincilikle tamamladı. 1994 yılında girdiği Gazi Üniversitesi Diş Hekimliği Fakültesinden 1999 yılında dönem birincisi olarak mezun oldu.
İlgi alanları
Diş Ağrısı
Diş Çürükleri
Diş Eksikliği
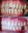
Diş Eti Kanaması
Diş Gıcırdatma
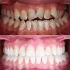
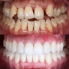
Diş Çapraşıklığı
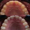
Diş ve Diş eti hastalıkları
Periimplantitis
Peri-İmplant Mukozitis
Diş Çene ve Yüz Bölgesi Gelişim Yetersizlikleri
Çene Kistleri
Zirkonyum uygulamalar
Implant tedavisi
Porselen uygulamaları
Laminate veneer
Uzmanlık alanları
Diş hekim