Adwhit Logo
Uygulamayı indirin
Tüm yeniliklerden haberdar olun
/
Ustalar ve Hizmetler
/
Türkiye'deki en iyi diş hekimleri
/
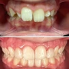
Dişler arasındaki boşlukların tedavisi
Dr. Dt. Gamze Yazıcı

Dişler arasındaki boşlukların tedavisi

İlk ve orta öğrenimini Kayseri’de tamamlamıştır. Ardından 2007-2012 yılları arasında Ankara Üniversitesi Diş Hekimliği Fakültesi’nde lisans eğitimini almıştır. 2013 yılında diş hekimliğinde uzmanlık sınavını (DUS) kazanarak Erciyes Üniversitesi Diş Hekimliği Fakültesi Ortodonti Anabilim Dalı’nda uzmanlık eğitimine başlamıştır. 4 yıllık uzmanlık eğitimi sonunda “Düşük doz lazer ve piezosizyon uygulamalarının molar distalizasyonu üzerine etkilerinin incelenmesi” konulu tez çalışmasını sonuçlandırarak “Ortodonti Uzmanı” ünvanını kazanmıştır. Uzmanlık eğitimi süresince ve sonrasında ortodonti alanında yurt içi ve yurt dışında yapılan birçok kongre, seminer ve kursa katılarak mesleki gelişmeleri yakından takip etmektedir.

İlgi alanları

  • Sınıf 3 Malokluzyonlar

  • Diş Çapraşıklığı

  • Çene Problemleri

  • Ortodontik Malokluzyonlar

  • Gömülü Dişler

  • Sınıf 2 Malokluzyonlar

  • Sınıf 1 Malokluzyonlar

  • Ayrık Dişler

  • Şeffaf Plaklarla Ortodontik tedavi

Deneyimler

  • Dentopol Ağız ve Diş Sağlığı Grubu - Maltepe

Okullar / eğitimler

  • Erciyes Üniversitesi Diş Hekimliği Fakültesi Ortodonti Anabilim Dalı ( Kayseri, 2017)

  • Ankara Üniversitesi Diş Hekimliği Fakültesi ( Ankara, 2012)

  • Nuh Mehmet Küçükçalık Anadolu Lisesi ( Kayseri, 2007)

Uzmanlık alanları

  • Ortodonti

  • Diş hekimi

Değerlendirme: 0 / 5
0 değerlendirme işlemi
Fotoğraflar
Video
Ad Soyad
Dr. Dt. Gamze Yazıcı

Yaş
37

Deneyim
5 - 10 yıl

Adres
İstanbul / Büyükçekmece / Mimaroba mah.
Ana Sayfa
Hesabım
İlan Ekle