
Dt.Murat Atakan Acar, lisans öncesi öğrenimlerinin ardından İzmir Katip Çelebi Üniversitesi Diş Hekimliği Fakültesi'nde(%100 İngilizce) başladığı Yüksek lisans eğitimini başarıyla tamamlayarak Diş Hekimi unvanı almıştır.
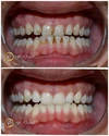
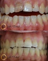
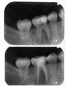
Beyaz Dental Ağız ve Diş Sağlığı merkezinde kariyerine başlayarak Endodonti üzerine aldığı eğitimlerle kendisini alanında uzmanlaştırmıştır.Sürekli ilerleme ve gelişim gösteren bilim dünyasını takip ederek insan yaşamına olumlu yönde dokunmayı ilke edinmiştir.Kendisini ortodonti alanında da geliştrimeyi sürdürmekle birlikte ortodonti alanındaki en iyi tekniklerden olan Alexander Disipline’nin sertifikalı Türkiye öğreticisinden özel eğitimler almıştır.Kendisinin gerek ortodonti gerekse endodonti alanında birçok sertifikası bulunmaktadır.
İzmir Fi Dental Klinik'i kurarak kariyerine devm eden Murat Atakan Acar, kariyerine kendi kliniğinde devam etmektedir.