
Dt. Barış Kaynar, 1986 yılında Karabük’te doğmuş, 2009 yılında İstanbul Üniversitesi Diş Hekimliği Fakültesi’nden mezun olmuştur. Mezuniyet sonrası, 2010–2012 yılları arasında estetik diş hekimliği, modern tedavi yöntemleri ve endodonti (kanal tedavisi) alanlarında birçok sempozyuma ve mesleki eğitime katılarak kendini geliştirmiştir. Bu dönemde edindiği teorik bilgi ve pratik deneyim sayesinde, hastalarına güncel ve etkili tedavi çözümleri sunma konusunda uzmanlaşmıştır. 2012 yılından itibaren Uğurel Ağız ve Diş Sağlığı Polikliniği’nde aktif olarak görev y
İlgi alanları
Diş Çürükleri
Diş Ağrısı
Diş Gıcırdatma
Diş Eksikliği
Diş Eti Kanaması
Diş ve Diş eti hastalıkları
Ağız Kokusu
Diş Çapraşıklığı
Periimplantitis
Diş Çene ve Yüz Bölgesi Gelişim Yetersizlikleri
Bonding
Kırık Diş
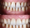
Estetik Diş Hekimliği
Gülüş Dizaynı
Yaprak Porselen - Laminate Veneer
Zirkonyum Porselen Kaplama
İmplant
Beyazlatma (Bleaching)
Smile Design
Kanal Tedavisi
Pembe Estetik
Şeffaf Plak ile Ortodonti
Deneyimler
Eşrefoğlu Ağız ve Diş Sağlığı polikliniği ( 2009-2011)
Uğurel Ağız ve Diş Sağlığı Polikliniği (2012-
Okullar / eğitimler
İstanbul Üniversitesi Diş Hekimliği Fakültesi
Uzmanlık alanları
Diş hekimi