
Diş Hekimi Elif Merve Yalın,1991 Amerika doğumludur. İlk ve orta öğrenimini Ankara’da tamamladıktan sonra 2015 yılında Gazi Üniversitesi Diş Hekimliği Fakültesi'nden mezun olmuştur. 2015-2022 yıllarında DentOstim Ağız ve Diş Sağlığı Polikliniği’nde çalışmış olup, 2022 yılında kendi kliniği Nova Dental Ağız ve Diş Sağlığı Polikliniği'ni kurmuştur.
İlgi alanları
Diş Ağrısı
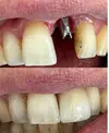
Diş Çürükleri
Diş Eksikliği
Diş Eti Kanaması
Diş Gıcırdatma
Diş Çapraşıklığı
Diş ve Diş eti hastalıkları
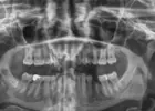
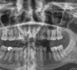
Periimplantitis
Peri-İmplant Mukozitis
Diş Çene ve Yüz Bölgesi Gelişim Yetersizlikleri
Çene Kistleri
Zirkonyum uygulamalar
Implant tedavisi
Porselen uygulamaları
Laminate veneer
Uzmanlık alanları
Diş hekim