
1991 senesinde İzmir'de doğdum. İlkokul ve ortaokul yıllarımı İzmir'in küçük kasaba okullarında geçirdikten sonra liseyi İzmir Atatürk Lisesinde okuyup ,2009 yılında Marmara Üniversitesi Diş Hekimliği Fakültesinde okumaya hak kazandım. Eğitimim boyunca estetik ve cerrahi uygulamalara olan ilgim sebebi ile kendimi bu yönde geliştirmeye özen gösterdim. 2020 yılından itibaren Esat Caddesinde kendi muayenehanemde hasta ve danışanlarımıza hizmet vermekteyiz. İlgi alanlarımdan bir tanesi olan Dental Fotoğrafçılık ile yaptığım işlemlerin fotoğraflarını çekip hastalarıma tedavi süreci hakkında ayrıntılı bilgi veririm.
İlgi alanları
Diş Ağrısı
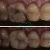
Diş Çürükleri
Diş Eksikliği
Diş Eti Kanaması
Diş Gıcırdatma
Diş Çapraşıklığı
Diş ve Diş eti hastalıkları
Periimplantitis
Peri-İmplant Mukozitis
Diş Çene ve Yüz Bölgesi Gelişim Yetersizlikleri
Çene Kistleri
Zirkonyum uygulamalar
Implant tedavisi
Porselen uygulamaları
Laminate veneer
Uzmanlık alanları
Diş hekim