
Fizik öğretmeni bir baba ve matematik öğretmeni bir annenin oğlu. Çocukluk yılları Zonguldak’ta geçti. Ortaokul yıllarında iken gittiği diş hekiminden etkilenip bu mesleği seçmeye karar verdi. 1997 yılında ilk tercihi olan Hacettepe
Üniversitesi Diş Hekimliği Fakültesi’ne başladı ve 2004 yılında mezun oldu. Bir sure Ortaköy Tıp Merkezi’nde görev
yaptıktan sonra Acıbadem Sağlık Grubu’na geçti. Mayıs 2018 den itibaren kurucusu olduğu Emrah Güvenenler Diş Muayenehanesi nde hizmet veriyor. Düzenli olarak eğitim ve seminerlere katılarak mesleki gelişmeleri yakından
İlgi alanları
Diş Çürükleri
Diş Ağrısı
Diş Gıcırdatma
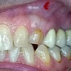
Diş ve Diş eti hastalıkları
Diş Eti Kanaması
Diş Çapraşıklığı
Ağız Kokusu
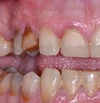
Diş estetiği
Porselen Lamina
Diş implantı
Gülüş tasarımı
Diş beyazlatma
Diş Renklenmeleri
Deneyimler
2018 - Emrah Güvenenler Diş Muayenehanesi
2011 - 2017 Acıbadem Sağlık Grubu
2008 - 2011 Ortaköy Tıp Merkezi
2006 - 2008 Özel muayenehane
Okullar / eğitimler
Hacettepe Üniversitesi Diş Hekimliği Fakültesi
Uzmanlık alanları
Diş hekimi