
Orta ve lise eğitimini Ted Ankara Koleji’nde tamamladı. 1969 yılında İstanbul Üniversitesi Diş Hekimliği Fakültesi’nden mezun oldu. 1973 yılında Ankara Üniversitesi Diş Hekimliği Fakültesi’nden Ortodonti doktorası diplomasını aldı. 1973-1974 yılları arasında Erzurum Atatürk Üniversitesi Diş Hekimliği Fakültesi’nde Yard.Doç. olarak A.B.D. başkanlığı yaptı. 1982 yılında doçent oldu. 1986 yılında Marmara Üniversitesi’nden ayrıldı. 1986 yılından beri mesleğine kliniğinde serbest ortodonti uzmanı olarak devam etmektedir.
İlgi alanları
Diş Ağrısı
Diş Çürükleri
Diş Eksikliği
Diş Eti Kanaması
Diş Gıcırdatma
Diş Çapraşıklığı
Diş ve Diş eti hastalıkları
Periimplantitis
Peri-İmplant Mukozitis
Diş Çene ve Yüz Bölgesi Gelişim Yetersizlikleri
Çene Kistleri
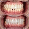
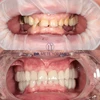
Zirkonyum uygulamalar
Implant tedavisi
Porselen uygulamaları
Laminate veneer
Uzmanlık alanları
Diş hekim