
2011 yılında Çukurova Üniversitesi Diş Hekimliği Fakültesinden mezun olan Dt.Büşra Polat Keçeli,
2011-2012 yılında Özel Çınar Hastanesinde,
2012-2016 yılları arasında özel bir poliklinikte,
2016 Haziran ayı itibariyle kendi kliniğinde hastalarını kabul etmektedir.
İlgi alanları
Diş Ağrısı
Diş Çürükleri
Diş Eksikliği
Diş Eti Kanaması
Diş Gıcırdatma
Diş Çapraşıklığı
Diş ve Diş eti hastalıkları
Periimplantitis
Peri-İmplant Mukozitis
Diş Çene ve Yüz Bölgesi Gelişim Yetersizlikleri
Çene Kistleri
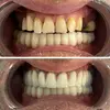
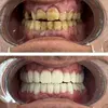
Zirkonyum uygulamalar
Implant tedavisi
Porselen uygulamaları
Laminate veneer
Uzmanlık alanları
Diş hekim