
İstanbul Üniversitesi Diş Hekimliği Fakültesi 2016 mezunuyum. Erciyes Üniversitesi Diş Hekimliği Fakültesi Protetik Diş Tedavisi Anabilim Dalı'nda 2018 yılında başladığım uzmanlık eğitimimi 2022 yılında tamamladım.
Uzmanlık eğitimi sırasında ve sonrasında çeşitli eğitimler, seminerler ve kongrelere katıldım. Uzmanlığımı ''Farklı Voltajlarla Anodize Edilmiş Dayanak Vidalarının Geri Çıkarma Torklarının Değerlendirilmesi: İn Vitro Çalışma'' isimli tezimi sunarak tamamladım.
İlgi alanları
Diş Eksikliği
Diş Gıcırdatma
Ayrık Dişler
Çarpık Diş
Temporomandibular Eklem (TME) Rahatsızlıkları
Diş Kırıkları
Diş Sıkma
Kırık Diş
Diş Eti Kanaması
Diş Ağrısı
Çocuk Diş Tedavisi
Diş Çürükleri
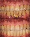
Diş ve Diş eti hastalıkları
Diş Çapraşıklığı
Bonding
Botox
Laminate Veneerler
Zirkonyum Kaplama
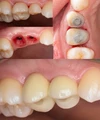
İmplant Üstü Dişler
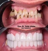
Hibrit Protez
Gülüş Tasarımı
Uzmanlık alanları
Diş hekimi
Protetik diş tedavisi