
1983 yılında Ankarada doğan Dr Elif Zaimoğlu Gültepe, 2001 yılında Özel Muradiye Sevgi Koleji'nden mezun olduktan sonra başladığı diş hekimliği eğitimini, Ankara Üniversitesi Diş hekimliği Fakültesinde 2006 yılında tamamlamıştır. Aynı yıl fakültenin Ortodonti Anabilim Dalında uzmanlık eğitimine başlamış ve Tübitak'ın doktora destek programına dahil olmuştur. 2011 yılında Ortodonti Uzmanı ünvanı almış olan Dr.Dt. Elif Zaimoğlu Gültepe , kendine ait olan muayenehanesinde hizmet vermektedir. Evli ve iki çocuk annesidir.
İlgi alanları
Diş Ağrısı
Diş Çürükleri
Diş Eksikliği
Diş Eti Kanaması
Diş Gıcırdatma
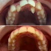
Diş Çapraşıklığı
Diş ve Diş eti hastalıkları
Periimplantitis
Peri-İmplant Mukozitis
Diş Çene ve Yüz Bölgesi Gelişim Yetersizlikleri
Çene Kistleri
Zirkonyum uygulamalar
Implant tedavisi
Porselen uygulamaları
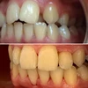
Laminate veneer
Uzmanlık alanları
Diş hekim