
Dt. Hilal Ercan Ankara Gazi Üniversitesi mezunu, 23 yıllık deneyimi ile Diş Hekimi uzmanlığı yapmaktadır. Kendisi 18 yıldır kendi muayenehanesinde özel hasta bakmaktadır. Evli ve 2 çocuk sahibidir.
İlgi alanları
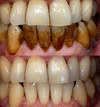
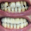
Diş Çürükleri
Diş Gıcırdatma
Diş ve Diş eti hastalıkları
Diş Ağrısı
Diş Eksikliği
Diş Eti Kanaması
Ağız Kokusu
Diş Çapraşıklığı
Periimplantitis
Diş Çene ve Yüz Bölgesi Gelişim Yetersizlikleri
Deneyimler
Hilal Ercan Muayenehanesi
Okullar / eğitimler
Gazi üniversitesi Ankara
Uzmanlık alanları
Diş hekimi