
Selman Yılmaz Çiçek ilk ve orta okul eğitimini Samsun’da, lise eğitimini İstanbul’da Özel bir Fen Lisesi’nde tamamlamıştır. Küçüklüğünden bu yana sanata ve bilime olan ilgisi ve merakı, onu diş hekimliği alanına yöneltti.
2012 yılında İstanbul Medipol Üniversitesi Diş Hekimliği Fakültesi’nden, başarılı bir eğitim hayatının sonucu olarak 2018 yılında yüksek lisans diplomasıyla “Onur Öğrencisi” olarak dereceyle mezun olmuştur.
Aynı yıl, Diş Hekimliği Uzmanlık Eğitimi Sınavında (2018-DUS) Türkiye 166.‘sı olmuştur.
2019 yılında, Ondokuz Mayıs Üniversitesi Diş Hekimliği Fakültesi Periodontoloji Anabilim Dalı’nda başladığı uzmanlık eğitimini 2022 yılında “Tip 2 Diyabetli ve Periodontitisli Hastaların Faz I Periodontal Tedavi Öncesi ve Sonrası Tükürükte Seramid-1-Fosfat ve Prostaglandin E2 Seviyelerinin İncelenmesi” isimli Uzmanlık Tezini ve Bilim Sınavını başarıyla tamamlayarak “Periodontoloji Uzmanı” ünvanını almaya hak kazanmıştır.
Periodontoloji Uzmanı olarak, başta diş eti hastalıkları, implantoloji, estetik ve dijital diş hekimliği uygulamalarıyla beraber tüm diş hekimliği alanlarında çalışmalarına Özel DENTMODEL Ağız ve Diş Sağlığı Polikliniğinde devam etmektedir.
Mesleki ilgi alanları diş eti hastalıklarının tedavisi, diyabet ve periodontitis ilişkisi, periodontal plastik-estetik cerrahiler, periodontal mikro-cerrahiler, yumuşak doku cerrahileri, periodontal rejenerasyon, diş eti çekilmeleri tedavisi, kemik erimeleri tedavisi, ileri implant cerrahileri, peri-implantitis tedavisi, dikey ve yatay kemik ogmentasyonları, kök hücre tedavileri, trombositten zengin kan ürünleri, dijital diş hekimliği, tek-seans diş hekimliği, CAD-CAM teknolojileri ve dental fotoğrafçılık.
Diş Hekimliği mesleği dışında Selman Yılmaz Çiçek fotoğrafçılık ve sualtı dalışı (SCUBA) ile ilgilenmektedir.
İlgi alanları
Diş ve Diş eti hastalıkları
Periodontitis
Gingivitis
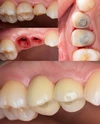
Periimplantitis
Diş eti çekilmeleri
Diş eti iltihabı
Diş Eti Kanaması
Peri-İmplant Mukozitis
Periodontoloji Cerrahi
Perikoronitis
Gummy Smile
Diş Gıcırdatma
Diş Sıkma
Diş Çürükleri
Diş Ağrısı
Liken Planus
Ağız Kokusu
Diş Eksikliği
Kırık Diş
Diş Taşı
Ayrık Dişler
Lezyonlu (Enfekte) Diş
Aft
Lökoplaki
Ağız Yaraları
Diş Kırıkları
Gömülü Dişler
Bilinen diller
İngilizce
Deneyimler
Özel Dent Model Ağız ve Diş Sağlığı Polikliniği (2023 - Devam ediyor)
Özel Kulvar Ağız ve Diş Sağlığı Polikliniği (İstanbul, 2023)
Özel Mahmutbey Safa Diş Ağız ve Diş Sağlığı Polikliniği (İstanbul, 2023)
Özel Bağcılar Safa Diş Ağız ve Diş Sağlığı Polikliniği (İstanbul, 2023)
Ondokuz Mayıs Üniversitesi Diş Hekimliği Fakültesi Hastanesi (Samsun, 2019)
İstanbul Medipol Üniversitesi Diş Hekimliği Fakültesi (İstanbul, 2016)
Yayınlar
Guliyev R, Cicek SY, Turun Z, Ulker E, Kirtiloglu T, & Dabak S. Evaluation of the Measures Taken in the Private Dental Practice during the COVID-19 Pandemic Period in Turkey. International Journal of Research and Reports in Dentistry. 2021;4(4), 64-75.
Çiçek SY, Ustaoğlu DT, Acarel EE. Vestibüler İnsizyon Subperiostal Tünel Erişimi (VISTA) Tekniği ile Anterior Estetik Bölgede İmplant Çevresi Yumuşak Doku Ogmentasyonu: Olgu Raporu (P30). Sivas Cumhuriyet Üniversitesi 1.Uluslararası Diş Hekimliği Kongresi. 2021;335-336.
Guliyev R, Ozdogan S, Lutfioglu M, Nigiz M, Cicek SY, Bagci NI. Evaluation of postoperative pain perception in soft tissue augmentation with free gingival graft: Case series (PC091). E-Poster/Clinical Report Presentation, EuroPerio 10. Journal of Clinical Periodontology. 2022;49(23), 289-385., Doi: 10.1111/jcpe.13637
Çiçek SY, Guliyev R, İnam AA, Nigiz M, Şahin N. Maksiller Estetik Ön Bölgede Dikey ve Yatay Yönde Kemik Ogmentasyonu ve İnsiziv Kanal Obliterasyonuyla Aynı Anda İmplant Yerleştirilmesi: Bir Vaka Raporu (EP-267). Türk Diş Hekimleri Birliği Uluslararası Dişhekimliği Kongresi 8-11 Eylül 2022. ADO Klinik Bilimler Dergisi. 2022; 11(3 Supplement 1): 1-652.
Okullar / eğitimler
İstanbul Medipol Üniversitesi, Diş Hekimliği Fakültesi
Anadolu Üniversitesi, Sağlık Kurumları İşletmeciliği
Ondokuz Mayıs Üniversitesi, Diş Hekimliği Fakültesi, Periodontoloji Anabilim Dalı
Uzmanlık alanları
Diş hekimi
Periodontoloji
Ödüller
İstanbul Medipol Üniversitesi Şehir ve İnsan Temalı Fotoğraf Yarışması Üniversite Kategorisi Yarışma Birincisi (2015)