
Uzm. Dr. Emir Bahman Şahbaz Zenith Dental Centar'da Ortodonti ve Diş Hekimliği Alanında Hizmet Vermektedir
İlgi alanları
Diş Ağrısı
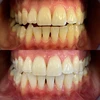
Diş Çürükleri
Diş Eksikliği
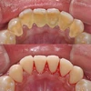
Diş Eti Kanaması
Diş Gıcırdatma
Diş Çapraşıklığı
Diş ve Diş eti hastalıkları
Periimplantitis
Peri-İmplant Mukozitis
Diş Çene ve Yüz Bölgesi Gelişim Yetersizlikleri
Çene Kistleri
Zirkonyum uygulamalar
Implant tedavisi
Porselen uygulamaları
Laminate veneer
Uzmanlık alanları
Diş hekim