
Enes Can Aydın, Ersa Dental Ağız ve Diş Sağlığı Polikliniği'nde hizmet vermektedir.
İlgi alanları
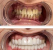
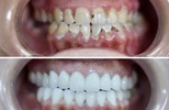
Diş Gıcırdatma
Diş Çürükleri
Diş Ağrısı
Diş Eksikliği
Diş Eti Kanaması
Diş ve Diş eti hastalıkları
Ağız Kokusu
Diş Çapraşıklığı
Periimplantitis
Diş Çene ve Yüz Bölgesi Gelişim Yetersizlikleri
Deneyimler
Ersa Dental Ağız ve Diş Sağlığı Polikliniği
Diş Hekimi Ferruh Aydın Muayenehane
Safir Ağız ve Diş Sağlığı Polikliniği
Uzmanlık alanları
Diş hekimi