
Dr. Dt. Ertuğrul Çetinkaya, Marmara Üniversitesi Diş Hekimliği Fakültesi’nden derece ile mezun olmuştur. Marmara Üniversitesi Diş Hekimliği Fakültesi Protetik Diş Tedavisi Anabilim Dalındaki Doktorasını tamamlayan Ertuğrul Çetinkaya kendi özel muayenehanesinde hastalarına hizmet vermektedir.
İlgi alanları
Diş Gıcırdatma
Diş Ağrısı
Diş Eksikliği
Diş Eti Kanaması
Diş ve Diş eti hastalıkları
Diş Hastalıkları
Diş Çürükleri
Diş Çapraşıklığı
Ağız Kokusu
Periimplantitis
Perikoronitis
Diş Çene ve Yüz Bölgesi Gelişim Yetersizlikleri
Çene Kistleri
Bonding
Çocuk Diş Tedavisi
Endodonti
Ayrık Dişler
Çene Bozukluğu
Periodontoloji
Diş Taşı
Kırık Diş
Çarpık Diş
Lazer Cerrahisi
Temporomandibular Eklem (TME) Rahatsızlıkları
Lezyonlu (Enfekte) Diş
Diş Kırıkları
Diş Sıkma
Aft
Ağız Yaraları
Deneyimler
2009-2021 özel muayenehane (Mimaroba )
2021-halem özel muayenehane (Nişantaşı)
Okullar / eğitimler
Marmara Üniversitesi Diş Hekimliği Fakültesi (yüksek lisans)
Marmara Üni. Diş Hek. Fak. Protetik Diş Tedavisi A.B.D Doktora
Uzmanlık alanları
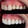
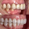
Protetik diş tedavisi
Diş hekimi