Adwhit Logo
Uygulamayı indirin
Tüm yeniliklerden haberdar olun
Dt. Ezgi Karaca

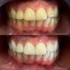
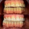
Diş eti nakli ameliyatı

Ben Ezgi Karaca.Ankara'da doğdum.Gazi Üniversitesi Diş Hekimliği
Fakültesi'ndeki eğitimimi başarıyla tamamlayarak diş hekimi ünvanını aldım. Eğitim hayatım boyunca Ankara Dişhekimleri Odası Öğrenci Komisyonu'nda editörlük yaptım. Bu süreçte birçok sempozyum ve kongrede çalışmalarım oldu.Toplumunun ağız ve diş sağlığı konusunda bilinçlenmesine katkı sağlamak amacıyla ağız taramalarında görev aldım. Küçük yaşlardan itibaren ağız ve diş bakımının alışkanlık haline getirilmesi için birçok ilkokul,ortaokul ve lisede gönüllü olarak konferanslar verdim. Mezuniyet sonrası İmplantoloji,Botox ve Dermal Dolgu,Lamina Vener,Gülüş Tasarımı,Bonding-Estetik Restorasyon alanlarında eğitimlere katılarak güncel ve dijital gelişmeleri takip ettim. Şu an Denthall Premium Clinic'te diş hekimi olarak hizmet vermekteyim.

Değerlendirme: 0 / 5
0 değerlendirme işlemi
Fotoğraflar
Ad Soyad
Dt. Ezgi Karaca

Yaş
37

Deneyim
5 - 10 yıl

Adres
Ankara / Çankaya / Mustafa kemal mah.
Ana Sayfa
Hesabım
İlan Ekle