Adwhit Logo
Uygulamayı indirin
Tüm yeniliklerden haberdar olun
/
Ustalar ve Hizmetler
/
Türkiye'deki en iyi diş hekimleri
/
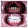
Diş eti lezyonlarına sahip dişlerin tedavisi
Dt. Emre Tektaş

Diş eti lezyonlarına sahip dişlerin tedavisi

1982 Malatya doğumlu olan Diş Hekimi Dr. Emre TEKTAŞ 2004 yılında Ankara Üniversitesi Diş Hekimliği Fakültesinden mezun olmuştur.
2005 yılında Kastamonu' da asteğmen olarak askerliğini yaptıktan sonra çalışma hayatına 2006 yılında Malatya' da muayenesi açarak başlamıştır.
2007 yılında Zimmer Implantoloji ve Edad (Estetik diş hekimliği akademisi derneği) kurslarını tamamlamıştır.
2008 yılında Avrupa'da diş hekimliğini incelemek üzere Leonardo da Vinci projesi kapsamında ispanya da bulunmuştur.
2009 yılında Antalya Serik devlet hastanesinde çalışmaya başlamıştır .
2015 yılında Amerika Birleşik Devletleri' nde Biohorizons ımplantoloji eğitimine katılmış ve 2015 yılından itibaren Uğurel Diş Polikliniginde çalışmaya başlamıştır.

İlgi alanları

  • Diş Çürükleri

  • Diş Ağrısı

  • Diş Gıcırdatma

  • Diş Eksikliği

  • Diş Eti Kanaması

  • Diş ve Diş eti hastalıkları

  • Ağız Kokusu

  • Diş Çapraşıklığı

  • Periimplantitis

  • Diş Çene ve Yüz Bölgesi Gelişim Yetersizlikleri

  • Perikoronitis

  • Bonding

  • Endodonti

  • Lazer Cerrahisi

  • Diş Taşı

  • Diş Kırıkları

  • Kırık Diş

  • Lezyonlu (Enfekte) Diş

Bilinen diller

  • İngilizce

Deneyimler

  • Uğurel Ağız ve Diş Sağlığı Polikliniği

  • Antalya Serik Devlet Hastanesi

Okullar / eğitimler

  • Ankara Üniversitesi Diş Hekimliği Fakültesi

Uzmanlık alanları

  • Diş hekimi

Değerlendirme: 0 / 5
0 değerlendirme işlemi
Fotoğraflar
Video
Ad Soyad
Dt. Emre Tektaş

Yaş
44

Deneyim
10 yıldan fazla

Adres
İstanbul / Pendik / Ahmet yesevi mah.
Ana Sayfa
Hesabım
İlan Ekle