
1992 Akkuş doğumluyum. 4 çocuklu bir ailenin en küçük çocuğuyum. İlk öğrenimimi İstanbul Sancaktepe'de tamamladım. Lise öğrenimimi Kartal Köy Hizmetleri Anadolu Lisesi'nde tamamladım. Üniversite eğitimimi Samsun Ondokuz Mayıs Üniversitesi'nde tamamladım. 2011 yılında lisans eğitimimi tamamlandıktan sonra tekrar İstanbul'a dönüp özel bir klinikte çalışma hayatıma başladım. 2 sene aynı klinikte çalıştıktan sonra askerlik görevimi yerine getirmek için işimden ayrıldım. Uzun dönem askerlik görevimi Ankara Hava Kuvvetleri Komuntanlığı'nda tamamladım. Askerlik görevim bittikten sonra yine önceden çalıştığım özel ağız diş sağlığı polikliniğinde farklı isimle hizmet vermeye devam ettim. Bir yıl sonrasında artık kurucularından biri olduğum Dentreferans'ın adımlarını atmaya başladık ve 2021 Mart ayı itibari ile artık kendi markamızı, kendi evimizi inşa edip hastalarımıza burada hizmet vermeye başladık. Bu iş hayatım süresince kendimi hep güncel tutmak için bir çok eğitim kongre ve topluluklarda bulundum. Halen daha sayısız eğitim ve kongreleri takip edip, katılım sağlamaktayım.
İlgi alanları
Diş Gıcırdatma
Diş Çürükleri
Diş Eti Kanaması
Diş Ağrısı
Ağız Kokusu
Perikoronitis
Periimplantitis
Peri-İmplant Mukozitis
Çene Kistleri
Gömülü Dişler
Diş Eksikliği
Çene Bozukluğu
Ayrık Dişler
Temporomandibular Eklem (TME) Rahatsızlıkları
Lezyonlu (Enfekte) Diş
Diş Kırıkları
Deneyimler
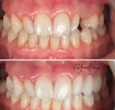
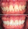
Dentreferans Ağız ve Diş Sağlığı Polikliniği
Okullar / eğitimler
İstanbul Köy Hizmetleri Anadolu Lisesi 2010
Samsun Ondokuz Mayıs Üniversitesi Diş Hekimliği Fakültesi 2016
Uzmanlık alanları
Diş hekimi