Adwhit Logo
Uygulamayı indirin
Tüm yeniliklerden haberdar olun
Dt. Sevgi Ak Uçar

Diş eti kanaması

Doğum yılı 1988 olan Sevgi AK UÇAR Orta öğrenimini Samiha Ayverdi Anadolu lisesinde tamamladı. 2007 yılında giriş yaptığı İstanbul Üniversitesi Diş Hekimiği fakültesinden 2012 yılında mezun oldu. Halen İstanbul Başakşehir'deki özel muayenehanesinde hizmet vermektedir.

İlgi alanları

  • Diş Çürükleri

  • Diş Gıcırdatma

  • Diş Ağrısı

  • Diş Eksikliği

  • Diş Eti Kanaması

  • Diş ve Diş eti hastalıkları

  • Ağız Kokusu

  • Diş Çapraşıklığı

  • Periimplantitis

  • Diş Çene ve Yüz Bölgesi Gelişim Yetersizlikleri

  • Bonding

  • Perikoronitis

  • Çene Kistleri

  • Liken Planus

  • Peri-İmplant Mukozitis

  • Çocuk Diş Tedavisi

  • Endodonti

  • Ayrık Dişler

  • Çene Bozukluğu

  • Periodontoloji

  • Lazer Cerrahisi

  • Diş Taşı

  • Kırık Diş

  • Pedodonti

  • Çarpık Diş

  • Sedasyon

  • Temporomandibular Eklem (TME) Rahatsızlıkları

  • Lezyonlu (Enfekte) Diş

  • Diş Kırıkları

  • Diş Sıkma

  • Aft

  • Ağız Yaraları

  • Lökoplaki

Deneyimler

  • Sevgi Ak Uçar Muayenehanesi

Okullar / eğitimler

  • İstanbul Üniversitesi Diş Hekimliği Fakültesi

Uzmanlık alanları

  • Diş hekimi

Değerlendirme: 0 / 5
0 değerlendirme işlemi
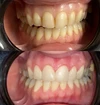
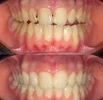
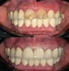
Fotoğraflar
Ad Soyad
Dt. Sevgi Ak Uçar

Yaş
38

Deneyim
5 - 10 yıl

Adres
İstanbul / Başakşehir / Bahçeşehir 1. kisim mah.
Ana Sayfa
Hesabım
İlan Ekle