
Ankara doğumlu olan Diş Hekimi Özge Çibuk ilk ve orta öğrenimini İstanbulda tamamlamıştır. Marmara Üniversitesi Diş Hekimliği Fakültesinden mezun olmuştur.Lipids and Their Importance in Dentistry adlı makalesi European Journal Of Research in Dentistry dergisinde yayınlanmaktadır.Mezun olduktan sonra özel bi hastanenin diş bölümünde çalışmış olup daha sonrasında Mefdental Başakşehir şubesinde hasta kabulune başlamıştır.Diş Hekimliğindeki güncel gelişmeleri çeşitli seminerlere katılarak yakından takip etmektedir.Estetik diş hekimliği, protetik tedaviler ve botoks alanında kendini geliştirmektedir.Müziğe ve sinemaya ilgi duymaktadır.
İlgi alanları
Diş Ağrısı
Diş Çürükleri
Diş Eksikliği
Diş Eti Kanaması
Diş Gıcırdatma
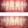
Diş Çapraşıklığı
Diş ve Diş eti hastalıkları
Periimplantitis
Peri-İmplant Mukozitis
Diş Çene ve Yüz Bölgesi Gelişim Yetersizlikleri
Çene Kistleri
Zirkonyum uygulamalar
Implant tedavisi
Porselen uygulamaları
Laminate veneer
Uzmanlık alanları
Diş hekim