
2012 yılında Başkent Üniversitesi Diş Hekimliği Fakültesini tamamladım. Daha sonra Ortodonti uzmanlığımı Erciyes Üniversitesi Diş Hekimliği Fakültesinde aldım. Kendi muayenehanemde hasta almaya devam ediyorum.
İlgi alanları
Diş Ağrısı
Diş Çürükleri
Diş Eksikliği
Diş Eti Kanaması
Diş Gıcırdatma
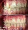
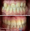
Diş Çapraşıklığı
Diş ve Diş eti hastalıkları
Periimplantitis
Peri-İmplant Mukozitis
Diş Çene ve Yüz Bölgesi Gelişim Yetersizlikleri
Çene Kistleri
Zirkonyum uygulamalar
Implant tedavisi
Porselen uygulamaları
Laminate veneer
Uzmanlık alanları
Diş hekim